Mostarka koja je ušla u istoriju: Dr Svjetlana Tišma Dupanović izvela prvu revolucionarnu operaciju srca na Floridi
Dr Tišma Dupanović rođena je u Mostaru, a diplomirala je medicinu na Univerzitetu u Sarajevu 1987. godine. Nakon toga se posvetila pedijatriji i kardiologiji i postala jedna od najcjenjenijih stručnjaka u oblasti pedijatrijske elektrofiziologije — grane medicine koja se bavi poremećajima srčanog ritma kod djece i adolescenata. Danas obavlja funkciju direktorice Službe za elektrofiziologiju pri Nemours Children’s Hospital u Orlandu (Florida), gdje vodi tim koji se bavi implantacijom naprednih srčanih uređaja i istraživanjem novih terapijskih tehnologija
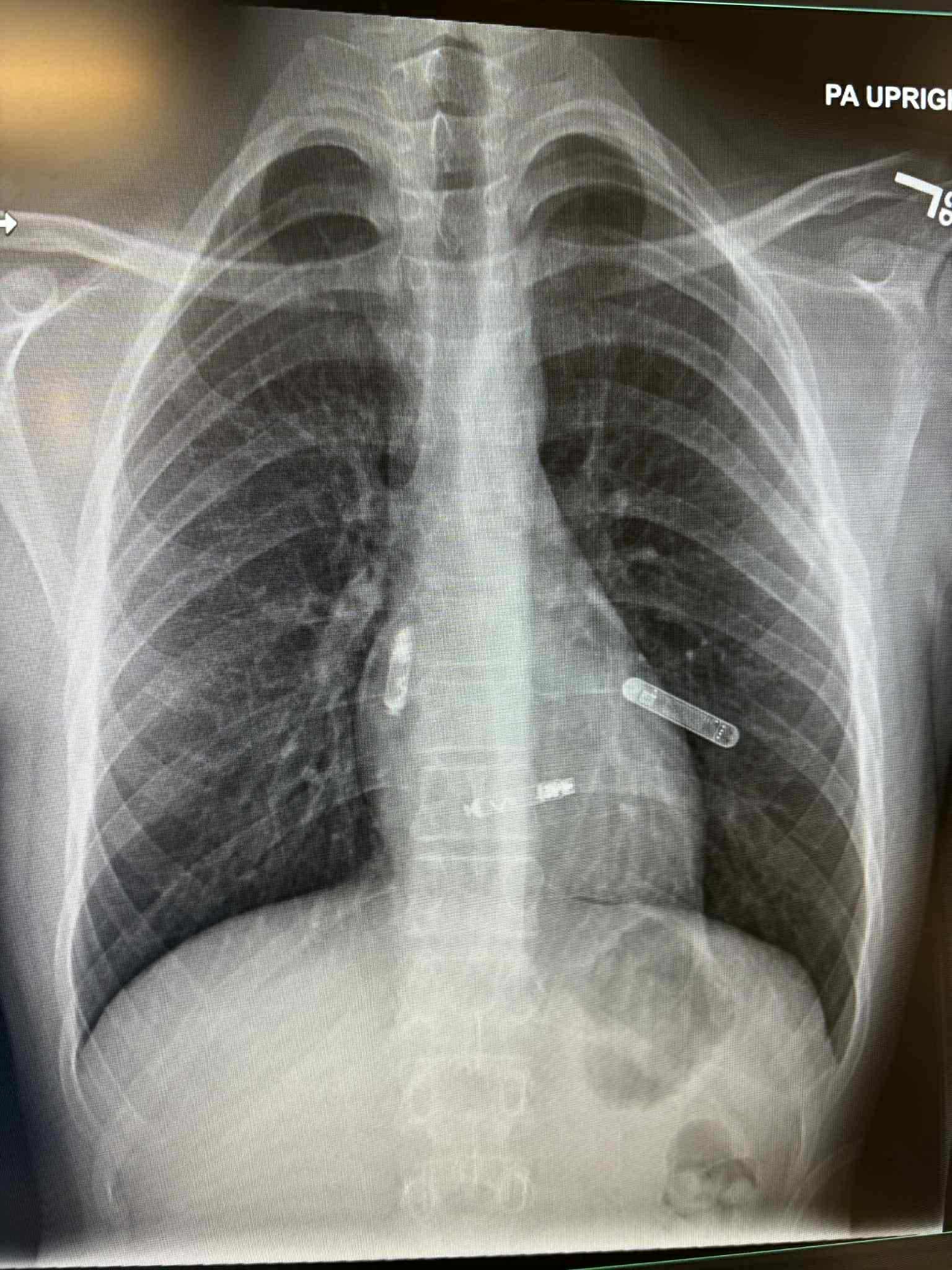
Dr Svjetlana Tišma Dupanović, kardiolog i pedijatar, uspješno je prije nekoliko dana pacijentu ugradila dvokomorni pejsmejker direktno u srčane šupljine – u pretkomoru i komoru – koji sinhronizovano stimulišu pravilan rad srca.
To je, kako je na Facebooku objavio bh naučnik dr Edhem Čustović, prva takva operacija izvedena na Floridi, a ujedno predstavlja veliki napredak u liječenju bolesti srca, posebno za pacijente sa poremećajima srčanog ritma i slabijom pumpnom funkcijom srca.
“Tradicionalni pejsmejkeri postavljaju se ispod kože grudnog koša, a žice prolaze kroz vene do srca. Nova tehnologija, koju je primijenila dr Tišma-Dupanović, omogućava direktnu ugradnju uređaja unutar srca — bez žica koje prolaze kroz krvne sudove. Ovaj dvokomorni (biventričularni) pejsmejker sinhronizuje rad pretkomora i komora, čime se postiže pravilniji ritam i veća efikasnost pumpanja krvi”, napisao je Čustović.
Dr Tišma Dupanović rođena je u Mostaru, a diplomirala je medicinu na Univerzitetu u Sarajevu 1987. godine. Nakon toga se posvetila pedijatriji i kardiologiji i postala jedna od najcjenjenijih stručnjaka u oblasti pedijatrijske elektrofiziologije — grane medicine koja se bavi poremećajima srčanog ritma kod djece i adolescenata.
Danas obavlja funkciju direktorice Službe za elektrofiziologiju pri Nemours Children’s Hospital u Orlandu (Florida), gdje vodi tim koji se bavi implantacijom naprednih srčanih uređaja i istraživanjem novih terapijskih tehnologija.
Osim bogate kliničke prakse, dr Tišma Dupanović je autorka brojnih stručnih radova i predavač na međunarodnim kongresima.
Foto: Dr Svjetlana Tišma Dupanović (Facebook/Dr Edhem Čustović)






